日本研究机构在解剖用尸体中检测到朊病毒,引发全球关注
AI导读:
国际权威医学期刊《新英格兰医学杂志》发表通讯,揭示日本长崎大学在解剖用尸体中检测到朊病毒,引发科学界和公众广泛关注。朊病毒作为危险病原体,其存在和传播风险备受关注,加强疾病防控工作至关重要。
国际权威医学期刊《新英格兰医学杂志》于2025年6月9日发表了一项重要通讯,揭示了日本长崎大学生物医学科学研究所的一项惊人发现:在接收的75具用于解剖实践的尸体中,研究人员通过RT-QuIC检测技术,成功在一具尸体的大脑皮层切片中检测到了朊病毒的存在。
这项研究不仅引起了科学界的广泛关注,也再次引发了公众对朊病毒这一神秘而危险的病原体的关注。朊病毒,这一本质为蛋白质的病原体,当人和一些动物中枢神经系统中的蛋白质发生折叠错误时,便会形成具有传染性质的朊病毒。它们在大脑中与邻近的正常蛋白质结合,导致脑部出现海绵状空洞,进而引发脑功能退化、痴呆等症状,严重时甚至可致死亡。
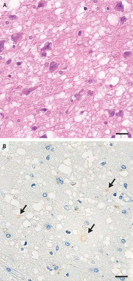
据悉,这名携带朊病毒的捐赠者于8年前去世,享年92岁,死因为吸入性肺炎。由于没有幸存的亲属提供医疗或家族史信息,研究人员只能通过显微镜观察其大脑组织切片来寻找线索。显微镜下,这名老人的大脑皮质中呈现出广泛的海绵状变化,神经元大部分被保留,同时伴随轻度胶质细胞增生。这些特征性的病理变化,进一步证实了朊病毒的存在。
此外,研究者还通过免疫组织化学染色处理标本,发现这名老人的朊病毒可能携带V180I突变。然而,由于样本量小,研究人员目前无法确定其体内的朊病毒是否具有传染性。这一发现无疑增加了人们对朊病毒传播风险的担忧。
研究者在通讯中强调,存在通过意外接触朊病毒感染组织而暴露于朊病毒的可能性,这使其他人面临传播风险。因此,所有参与尸体处理、解剖的人员必须穿戴个人防护装备并严格遵守安全规程,以避免身体与尸体和体液的直接接触,以及在检查组织和取样时发生割伤等伤害。
同时,由于朊病毒能耐受所有标准的消毒措施,其他病人、外科医生、病理科医生和处理受感染组织和器械的技术人员也存在被传染的危险。为了确保安全,必须采用高压蒸汽灭菌在132℃下灭菌1小时,或者将它们浸泡在氢氧化纳1 N(正常)或10%钠的次氯酸钠溶液中1小时。
据研究者估计,已知朊病毒病的全球发病率约为每百万人每年一到两例。而未确诊的朊病毒病的发病率虽然未知,但估计高达每30000人一例。因此,对于这个病例而言,确定其病因是医源性、家族性还是散发性显得尤为重要。
值得注意的是,朊病毒病不仅存在于人类中,还广泛存在于许多哺乳动物体内,如水貂、麋鹿、鹿以及驯养的牛羊等。这些动物体内的朊病毒可以通过食物链在不同种类间传播。此前已有病例显示,人食用了感染牛海绵状脑病(BSE,即疯牛病)的牛肉后存在被感染风险。这一发现再次提醒我们,加强食品安全监管和疾病防控工作至关重要。
(文章来源:澎湃新闻,经财经视角重新整理发布)
郑重声明:以上内容与本站立场无关。本站发布此内容的目的在于传播更多信息,本站对其观点、判断保持中立,不保证该内容(包括但不限于文字、数据及图表)全部或者部分内容的准确性、真实性、完整性、有效性、及时性、原创性等。相关内容不对各位读者构成任何投资建议,据此操作,风险自担。股市有风险,投资需谨慎。如对该内容存在异议,或发现违法及不良信息,请发送邮件至yxiu_cn@foxmail.com,我们将安排核实处理。

