科研新突破:腺病毒感染机制及药物靶点揭秘
AI导读:
上海交通大学医学院附属瑞金医院与上海科技大学免疫化学研究所合作,在《自然研究》发表研究成果,首次系统鉴定了临床高致病性人腺病毒株的新型功能性宿主因子,为抗病毒药物研究提供了理论依据。
2024年12月30日,上海交通大学医学院附属瑞金医院瞿介明教授团队携手上海科技大学免疫化学研究所刘佳教授团队,在顶级期刊《自然研究》(Nature Communications,IF=14.7)发布重要研究成果。该团队运用CRISPR/sgRNA功能基因组筛选技术和重症社区获得性肺炎(SCAP)患者的转录组学数据,首次系统揭示了临床高致病性人腺病毒株的新型功能性宿主因子,为抗病毒药物研发开辟了新路径。
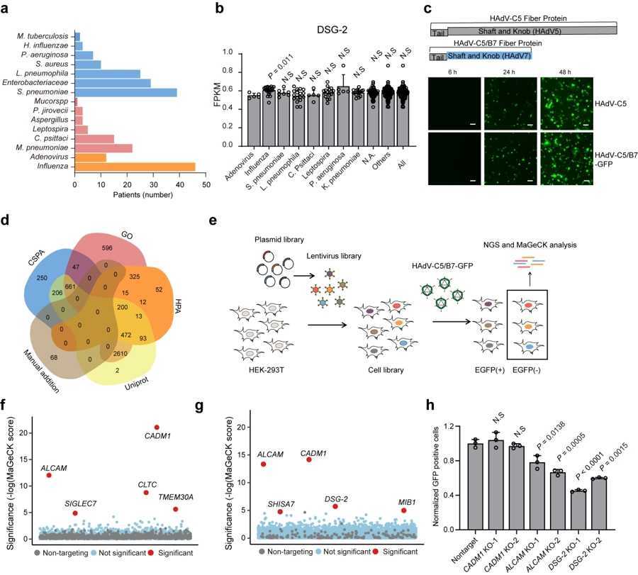
腺病毒家族庞大,包含A-G七个组及超百种血清型,广泛感染呼吸道、眼、胃肠道等上皮细胞。其中,B组腺病毒尤其令人担忧,因国内外流行病学调查显示,它能导致严重的下呼吸道感染,而现有治疗手段对腺病毒仍缺乏特异性。团队的前期研究发现,腺病毒在我国重症社区获得性肺炎(SCAP)的病毒性致病原中排名第二,其中HAdV-B7型是主要血清型。B组腺病毒在感染机制上有其独特性,部分型别如HAdV-B3、HAdV-B7等使用DSG2作为受体,但功能实验显示,单纯DSG2的缺失并不能完全阻止病毒感染,提示SCAP相关的HAdV-B受体谱仍待深入探索。
团队构建了嵌合HAdV-B7纤维结蛋白(knob)的重组荧光病毒,通过一代和二代膜蛋白组CRISPR/sgRNA文库(SfCRISPR)对重组毒株进行两轮独立筛选,成功锁定了包括已知受体DSG2和激活白细胞黏附分子(ALCAM)在内的一系列候选宿主因子。研究还发现,ALCAM在SCAP患者早期血样中高表达,且在体外共感染实验中,ALCAM功能缺失的细胞相比野生型细胞对重组腺病毒的抵抗力更强。进一步的功能缺失实验及回补实验,以及临床分离的多株重症B组腺病毒的验证,均证实了ALCAM在促进腺病毒感染中的关键作用。
机制研究显示,ALCAM在B组腺病毒侵入宿主过程中扮演重要角色,HAdV-B7 knob结构域与宿主细胞膜表面的ALCAM C和V结构域相互作用,通过DSG2-ALCAM-EndoA3轴促进病毒内吞。这一发现为理解B组腺病毒的感染机制提供了新的视角,也为抗病毒药物的设计提供了潜在靶点。
本研究由上海交通大学医学院附属瑞金医院瞿介明教授和上海科技大学免疫化学研究所刘佳研究员共同指导,瑞金医院谢雨桑博士和上海科技大学免疫化学研究所梅红助理研究员为共同第一作者。研究得到了“科技创新2030”重大项目、广州国家实验室专项项目、上海市生物大分子与精准医药前沿科学研究基地等多个项目的资助。
(文章来源:上观新闻)
郑重声明:以上内容与本站立场无关。本站发布此内容的目的在于传播更多信息,本站对其观点、判断保持中立,不保证该内容(包括但不限于文字、数据及图表)全部或者部分内容的准确性、真实性、完整性、有效性、及时性、原创性等。相关内容不对各位读者构成任何投资建议,据此操作,风险自担。股市有风险,投资需谨慎。如对该内容存在异议,或发现违法及不良信息,请发送邮件至yxiu_cn@foxmail.com,我们将安排核实处理。

